Ústí nad Labem – Lékaři Spondylochirurgického centra Masarykovy nemocnice v Ústí nad Labem realizovali první dvě fixace postižených obratlů hrudní a bederní páteře s využitím robotického angiografického ramene. Přístroj zaručuje výrazně lepší kvalitu zobrazení díky mobilnímu rotačnímu 3D mechanizmu. Spondylochirurgický výkon je nyní kratší a také bezpečnější.
Operace proběhly na jednom z nejmodernějších hybridních operačních sálů v nově vybudovaném pavilonu ústecké Masarykovy nemocnice. Angiografické robotické rameno je primárně určeno pro cévní neurochirurgické a ostatní operace s možností kontroly cév. Využití přístroje při operacích páteře nově zvyšuje efektivitu nasazení tohoto unikátního zařízení a bezpečí pacienta při výkonu.
„Důvodem k výkonu takzvané augmentace obratlů, fixace, je jeho poškození patologickou zlomeninou, nejčastěji vlivem osteoporózy nebo nádoru. Ta se fixuje výplní – kostním cementem, což vede ke stabilizaci zlomeniny a eliminuje bolest, která je velkým limitem pro pacienta,“ vysvětluje MUDr. Martin Bolcha, lékař Neurochirurgické kliniky, který provedl první operaci s využitím robotického angiografického ramene.
Doc. MUDr. Petr Vachata, Ph.D., MBA, vedoucí lékař Spondylochirurgického centra, provedl následně u druhého pacienta výkon formou kyfoplastiky. Během ní se kromě implantace kostního cementu pomocí zavedených tlakových balónů restauruje výška obratlového těla a fyziologická osa páteře. „V případě augmentačních výkonů je nejobávanější komplikací chybná pozice zavedených augmentačních kanyl, kdy může dojít k postižení nervových struktur s trvalými následky pro pacienta. Již před lety jsme v rámci neurochirurgie, s cílem zvýšit bezpečnost těchto výkonů, prohloubili spolupráci s radiodiagnostickou klinikou a začali provádět tyto augmentační výkony na rotační angiografii,“ vysvětluje docent Vachata.

Restaurace výšky zlomeného obratle kyfoplastickými balóny. Foto: Krajská zdravotní
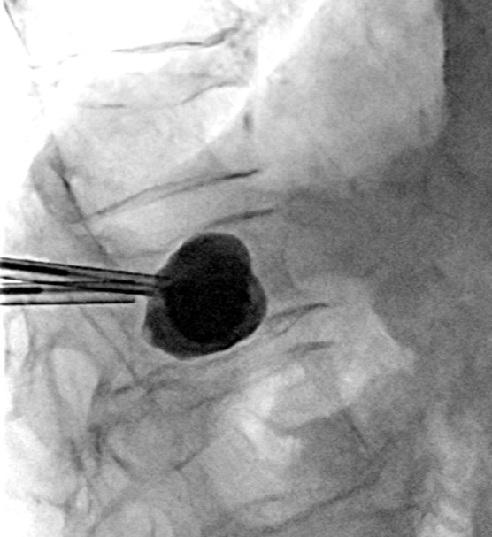
Nové robotické rameno přináší výrazně lepší kvalitu zobrazení. Díky rychlému mobilnímu rotačnímu mechanizmu, umožňujícímu libovolný pohyb v 3D prostoru, zaručuje zvýšení bezpečnosti těchto výkonu především u pacientů s těžkou osteoporózou nebo významnou obezitou, kde klasický rentgen má svá technologická kvalitativní omezení. Dalším významným benefitem během takové operace je možnost CT vyšetření při kontrole plnění obratlů cementem. Přístroj zobrazí přesné šíření cementu a vyloučí jeho únik mimo obratle.
Specialisté Spondylochirurgického centra, chirurgové z Neurochirurgické kliniky a Ortopedické kliniky v Masarykově Nemocnici Krajské zdravotní v Ústí nad Labem, provedli za minulý rok celkem 121 takových výkonů.

CT kontrola šíření cementu po kyfoplastice. Foto: Krajská zdravotní

